© 2026 Merimna Institute
Loss of Pulp Vitality After Maxillary Sinus Augmentation

Georgios E. Romanos, Dimitrios E.V. Papadimitriou, Manuel J. Hoyo, Jack G. Caton
© 2026 Merimna Institute
Καριέρα στην Αγγλία {my}dentist Πληροφορίες
Ξεκίνησε νέα σταδιοδρομία στην Αγγλία {my}dentist Πληροφορίες

Georgios E. Romanos, Dimitrios E.V. Papadimitriou, Manuel J. Hoyo, Jack G. Caton

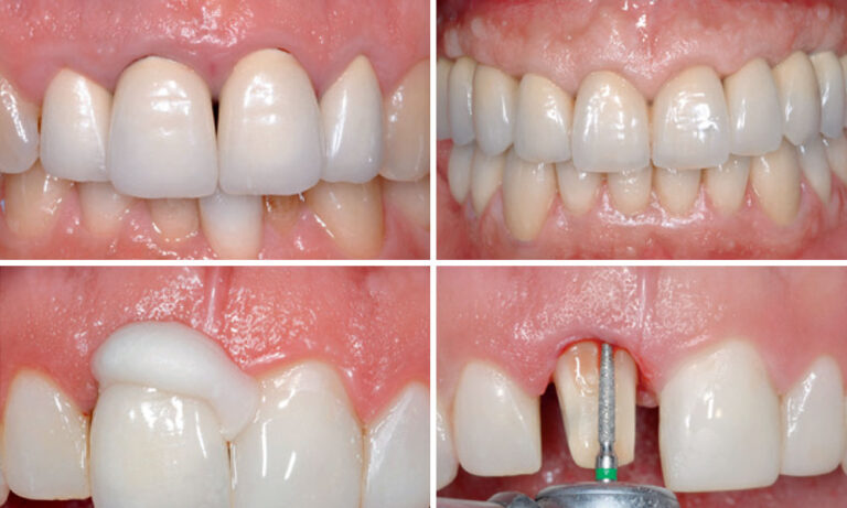
All cases were treated by Dr. Chris Chang, president of Beethoven Orthodontic and Implant Group in Hsinchu, Taiwan.

Georgios E. Romanos, Daniel Weitz

Georgios E. Romanos, Hans Malmstrom, Changyong Feng, Carlo Ercoli, Jack Caton

George E. Romanos, George-Hubertus Nentwig

George E. Romanos, George-Hubertus Nentwig